before invisalign treatment - belmont dentistry
Before
after invisalign treatment
After
before in office teeth whitening
Before
after in office teeth whitening at belmont dentistry
After
before dental veneers
Before
after dental veneers
After
before dental veneers
Before
Image
After
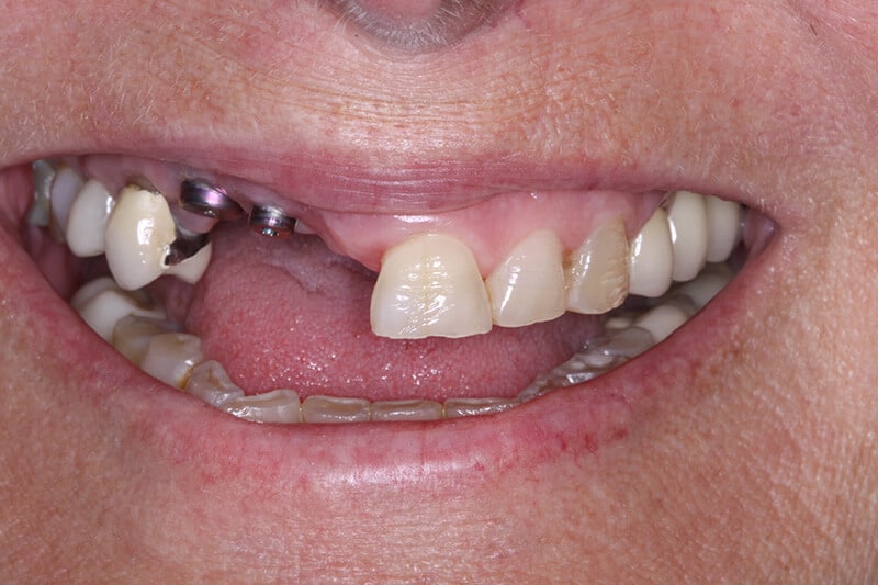
before dental implants
Before
after dental implants
After
Image
Before
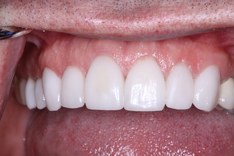
after dental veneers
After
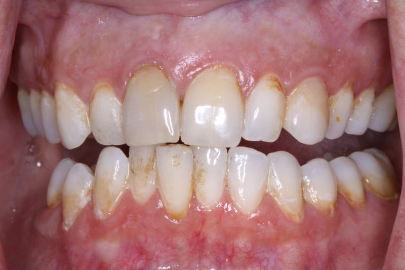
before in office teeth whitening
Before
after in office teeth whitening
After
Image
Before
Image
After
before dental veneers
Before
after dental veneers
After
before in office teeth whitening
Before
Image
After
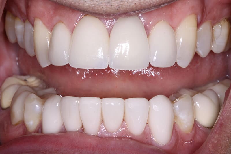
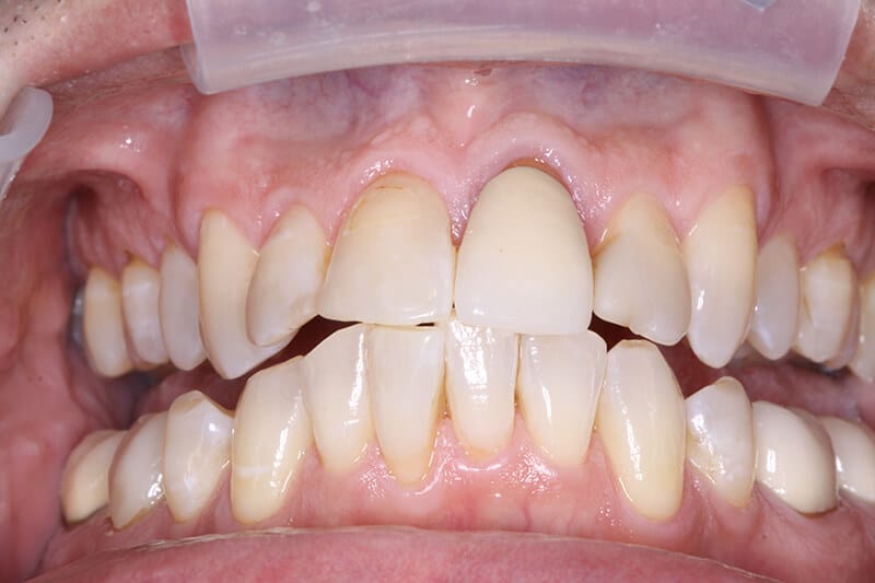
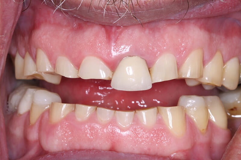
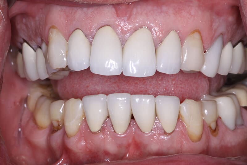
before full mouth reconstruction
Before
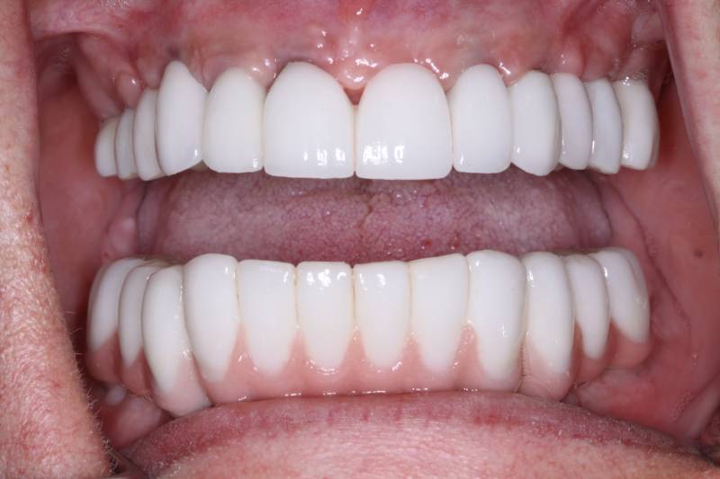
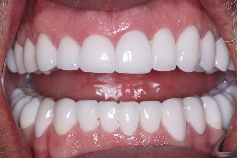
after full mouth reconstruction
After
Image
Before
after dental veneers
After
Image
Before
after invisalign treatment
After
before all on 4 dental implants
Before
after all on 4 dental implants
After
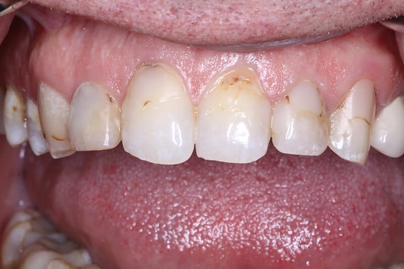
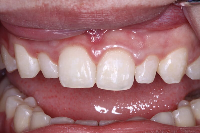
before dental veneers
Before
after dental veneers
After
before dental veneers
Before
after dental veneers
After
before dental veneers
Before
after dental veneers
After
before invisalign treatment
Before
after invisalign treatment
After

New Patients & Emergency Appointments Welcome!